임신 20주 정밀 초음파 성별반전 경험담
오늘은 저의 경험담인 임신 20주 정밀 초음파 후 태아 성별 반전 경험담을 들려드릴게요 ㅋㅋ

미국은 초음파를 출산까지 2~3번까지 밖에 안 봐줘서 임신 8주 차에 초음파 검사를 하고 20주 정밀 초음파 검사까지 기다리지 못할 것 같아 사설로 가서 초음파 검사를 다달이 받았아요~!
임신 12주차 초음파 검사로 성별을 처음 알게 된 날


12주 차가 되면 피검사를 통해 다운증후군 여부와 성별을 정확히 알 수 있는데 그냥 받으면 비용이 만만치 않을 것 같아 보험사 측에 연락을 해 언제 검사를 받을 수 있는지 연락을 기다리는데 너무 늦어져서 사설로 초음파 검사를 받으러 가니 초음파를 봐주시는 분께서 감사하게도 다운증후군 검사와 (목 투명대 검사) 성별을 봐주시더라고요~
그리고 저에게 성별 알고 싶냐 물어보시길래 저는 아무리 초음파를 봐도 모르겠어서 알려달라고 하니까 아들이야!!라고 말씀하셔서 전 성별이 무엇이든 상관없었지만 친척 통틀어 36년째 아들이 없어 아들을 간절히 원하는 저희 집안에 우리 아이가 아들이란 소식을 알려드리면 얼마나 기뻐하실까 하는 생각에 기분이 날아 갈듯 했어요 ㅋㅋㅋㅋ~
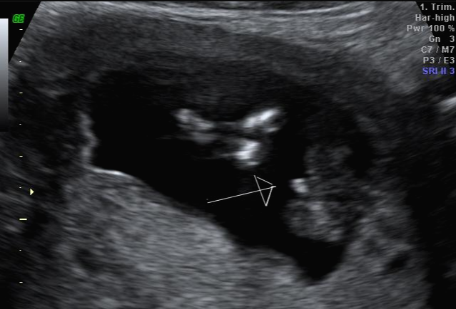
그리고 초음파 봐주시는 분께서 13주차가 되면 정확히 알 수 있으니 다음 주에 오라고 하셔서 일주일 뒤 다시 방문을 했습니다. (위에 사진은 12주 차 때 아들이라고 보여주신 초음파 사진이에요~ 화살표 보면 툭 튀어나와있는 부분을 보여주면서 아들이라고 하셨어요~)
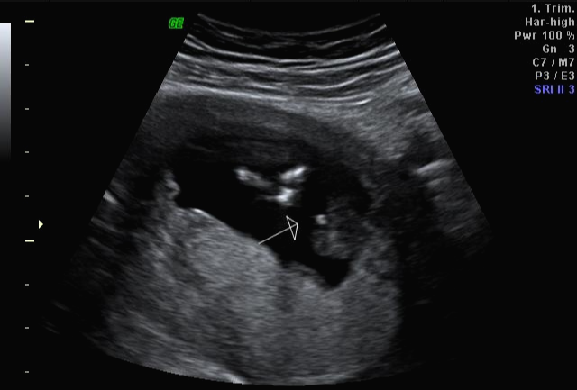
임신 13주 차 초음파 검사 성별 아들? 딸?




일주만에 더 커있는 우리 트롱이~ 어찌나 꼬물꼬물 귀엽게 움직이던지 ㅎㅎ 트롱이 건강상태를 확인 후 다시 성별을 확인했는데 100프로 아들이라며 지금 병원에서 일을 하시고 경력이 25년 됐다고 믿음을 확실히 주셔서 초음파 검사가 끝나고 바로 부모님께 연락을 드리고 아들 옷 사러 갔어요 ㅋㅋㅋ

아 진짜 전문가는 다르구나~ 이렇게 이른 주수에도 성별을 알 수가 있구나 생각을 했지만 이 시기 때는 성별을 정확히 알 수 없다는 글들을 봐서 살짝~ 의심스럽기도 했지만 그래도 100프로라니깐 ㅎㅎ 믿어보았어요~ 근데 위에 사진을 보면 성별을 알 수 있는 각도 법이 있는데 각도가 딸 같아서 긴가민가~하긴 했지만 의심은 잠시! 전문가 분을 믿기로 ㅋㅋㅋㅋ
임신 17주 차 초음파 검사


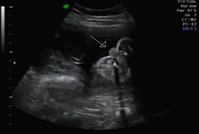
한 달 뒤인 17차 때 다시 사설로 가서 초음파 검사를 받았는데 검사해주시는 분 께서 한참을 보시더라고요~ 그러면서 어떻게 보면 딸 같다고 하셔서... 응? 100프로 아들이라 해서... 다 아들껄로 준비하고 있는데.. 무슨 소리지? 하고 다시 한번 봐달라고 하니 아들이라 하시면서 위에 초음파를 보여주셨어요!
한데 기분이 참 찝찝했어요~ 뭔가 숨기고 있는 듯한.. 정확하지 않는 듯한 느낌 ㅋㅋㅋ... 그래서 임신 17주 차부터 아이 용품 구매하는 걸 중단하고 병원에서 20주 차 정밀 초음파 검사를 기다려 보기로... 가족도 다 아들로 알고 있고 벌써 아들 꺼 처럼 보이는 용품들로 준비했기 때문에 성별 반전이 없기를 기대했어요 ㅠㅠ

선물 받은 아들 옷들 ㅋㅋㅋㅋㅋㅋ;; 이 외에 이불이나 수건 등등 다 파란색.. 공룡그림으로 준비했어요...
임신 20주 정밀 초음파 검사 : 성별 반전

20주 정밀초음파를 받았는데 아이 건강상태를 꼼꼼하게 확인하고 마지막으로 성별을 확인했는데 딸이라고... 저에게 성별 반전이 있었어요~ 그래서 믿을 수가 없어서 제가 초음파 검사를 했을 때마다 아들이라고 했는데 지금 딸이라 해서 너무 혼란스럽다고 하니 다시 누워보라며 다시 봐주셨는데 역시나 딸 ^^~ 확실한 성별 반전! 딸을 더 원했던 남편은 저의 기분을 생각하지 않고 너무 행복해하더라고요 ㅋㅋㅋㅋㅋ ;;
성별이 중요하진 않지만... 이미 받은 선물들도 있고 아들이라고 해서 좋아했던 가족들에게 너무 미안해서 혼자서 훌쩍훌쩍... 눈물을.....;;;; 그리고 감정을 추스르고 가족에게 전화를 해서 딸이라고 말을 하니 성별이 뭐가 중요하냐고 너무 이쁘겠다며 요즘은 딸이 최고라고 하면서 저의 기분을 달래주셔서 미안한 마음과 고마운 마음이 동시에 들었어요~!
임신 24주 초음파 검사 성별 : 딸

24주 차에 다시 사설로 초음파 검사를 받으러 갔는데 초음파를 보시더니 정밀 초음파 검사 때 성별 딸이 었냐 아들이 었냐 물어보시길래 딸이라고 말을 하니 미안하다고 지금 보니 딸이라고 하길래 이때는 정밀 초음파 검사 후 한 달 뒤여서 상관없다고 ㅋㅋㅋㅋㅋ 아들인지 딸인지 뭐가 중요하냐고 아이만 건강하면 된다고 하니 ㅎㅎ 그때서야 웃으시더라고요 ㅎㅎ 많이 미안했던 모양... 워낙 아이 건강상태를 꼼꼼하게 잘 봐주시고 만족할만하게 아이 얼굴 초음파 사진을 찍어주셔서 다 용서가 됐어요 ㅎㅎ


내 뱃속에 이렇게 사랑스러운 아이가 있다니 >. < 이렇게 이쁜 아이를 보면 성별반전은 중요하지 않아요~
임신 30주 초음파 검사


30주 차! 다행히? 다시 성별반전은 없는 것 같아요~ 허벅지 뼈? 길이 봐주시면서 스쳐갔는데 다리사이에 아무것도 보이지 않네요~



입체 초음파 사진은 항상 만족스러워요! 사진 보면 벌써 태어난 아기처럼 어찌 이리 이목구비 뚜렷하고 아이 얼굴이 선명하게 잘 보이는지~ 제아이라 이렇게 사랑스러운 걸까요~? ㅋㅋㅋ
아무튼 저에게 성별반전이 있었지만 아이가 건강한 것만으로도 너무 행복해요~ 이제 출산까지 2달 남았는데 지금처럼만 건강하게 자라다오~~~
위에 아들이라 했던 초음파 사진은 다 딸 초음파 사진이니 성별이 궁금하신 분들은 딸 초음파 사진으로 참고해서 보시면 좋을 것 같아요~그리고 전 결혼 5년 만에 가진 첫 아이라 설레는 마음에 너무 이르게 아이 용품들을 준비했는데 출산 2~3달 전에 준비해도 늦지 않은 것 같아요~ 혹시 저처럼 성별 반전이 있을 수 도 있으니 아이 용품은 천천히 준비하시길~~!

임신 30주 33주 역아 , 역아 돌리기 자세로 역아 돌리기 성공!
임신 30주 33주 역아 , 역아 돌리기 자세로 역아 돌리기 성공!
미국에서 첫아이를 임신하게 되었는데 임신 기간 동안 미국 산부인과에선 초음파 검사를 딱 두 번만 봐주더라고요~ 그래서 저는 첫 아이이다 보니 계속 보고 싶은 마음에 거의 매달 사설에서 초
myeverything.tistory.com
임신 초기 증상 3주차 4주차 5주차 증상 얼리 임신 테스트기
임신초기증상 3주차 4주차 5주차 증상 얼리 임신 테스트기
결혼 5년 차지만 결혼 초기에는 서로 맞춰가고 그 후론 여행을 다니느냐 자녀 계획을 계속 미뤘었어요~ 한데 어느 순간부터 신혼도 충분히 즐겼다 생각이 들고 남편도 저도 더 나이 먹기 전에 자
myeverything.tistory.com
임신초기증상 6주차 7주차 8주차 증상 입덧 시기
임신은 얼리 임신 테스트기를 통해서 3주 4일 차에 처음 알게 되었고 4주 차엔 혈액검사를 통해 임신 사실을 정확히 알게 되었어요~ 임신이란 걸 알게 된 후 뱃속 아기가 너무 보고 싶은데 병원
myeverything.tistory.com
임신 초기증상 9주 차 10주 차 11주 차 증상 역류성 식도염
임신 초기증상 9주차 10주차 11주차 증상 역류성식도염
임신 초기 때는 입덧 때문에 하루하루 힘든 시간을 보냈던 것 같아요~ 7주, 8주 때 입덧이 너무 심해서 곧 괜찮아지겠지 했지만 임신 초기인 11주까지 계속 이어졌어요~ 오늘은 제가 겪은 임신 초
myeverything.tistory.com
'여니의 하루 > 임신일기' 카테고리의 다른 글
| 임신 30주 33주 역아 , 역아 돌리기 자세로 역아 돌리기 성공! (1) | 2022.11.09 |
|---|---|
| 임신 초기증상 9주차 10주차 11주차 증상 역류성식도염 (0) | 2022.03.09 |
| 임신초기증상 6주차 7주차 8주차 증상 입덧 시기 (0) | 2022.03.03 |
| 임신초기증상 3주차 4주차 5주차 증상 얼리 임신 테스트기 (0) | 2022.03.02 |







