임신초기증상 6주차 7주차 8주차 증상 입덧 시기
임신은 얼리 임신 테스트기를 통해서 3주 4일 차에 처음 알게 되었고 4주 차엔 혈액검사를 통해 임신 사실을 정확히 알게 되었어요~ 임신이란 걸 알게 된 후 뱃속 아기가 너무 보고 싶은데 병원 첫 예약은 8주 차 때 잡혀서 한 달을 기다렸어야 했는데 시간이 너무 안 가더라고요~ 생리통 같은 아랫배 통증도 지속적으로 있어서 너무 걱정되어 더 시간이 안 갔던 것 같아요..
기다림 끝에 드디어 산부인과를 가게 되었는데 의사 선생님께서 어떠한 증상들이 있는지 물어보고 먹어도 되는 약 , 입덧에 좋은 음식들 알려주시고 소변검사와 피만 3통 뽑아가고 12주 때 아기 심장소리 듣고 16주 때 첫 초음파 검사를 하자고 하더라고요.. ㅋㅋㅋ;; 그리고 그 병원에선 초음파를 안 봐주고 초음파 검사를 받으러 또 1시간이나 떨어져 있는 곳으로 가야 한다고.. 이날 초음파 검사를 하는 줄 알았는데 아기를 못 보고 오니 너무 서러워서 병원에서 나오는 길에 엉엉 울었어요.. ㅋㅋㅋ 내 아이를 내가 보지 못한다는 게 너무 슬펐어요.. (제 생각은 미국 군인가족이라 트라이케어(미군 건강보험)로 커버되는 부분 때문에 진료 보는데 제한적인 것 같아요~)
그렇게 병원을 나오고 초음파 검사 예약을 위해 전화를 했는데 16주까지는 못 기다릴 것 같아서 엄살 부리며 배가 너무 아프다고 우리는 아기가 건강한지 확인하고 싶다고 하니 센스 있는 분께서 이틀 뒤 예약을 잡아주셨어요!
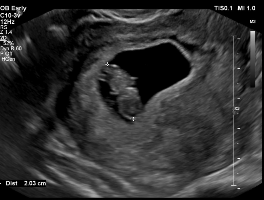
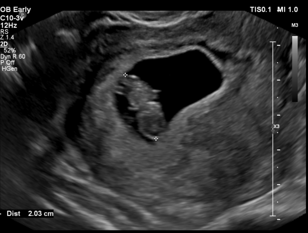
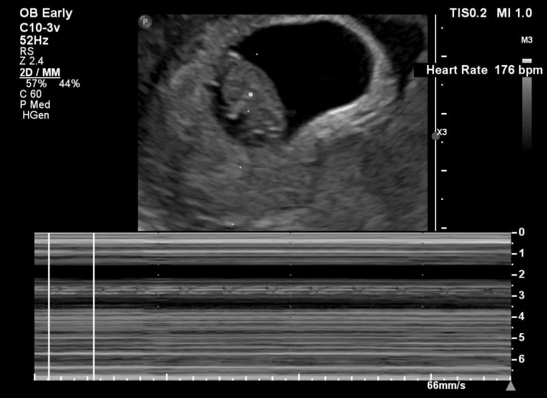
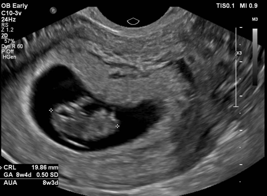
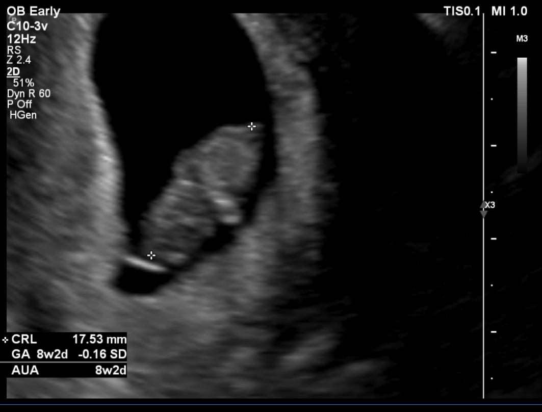
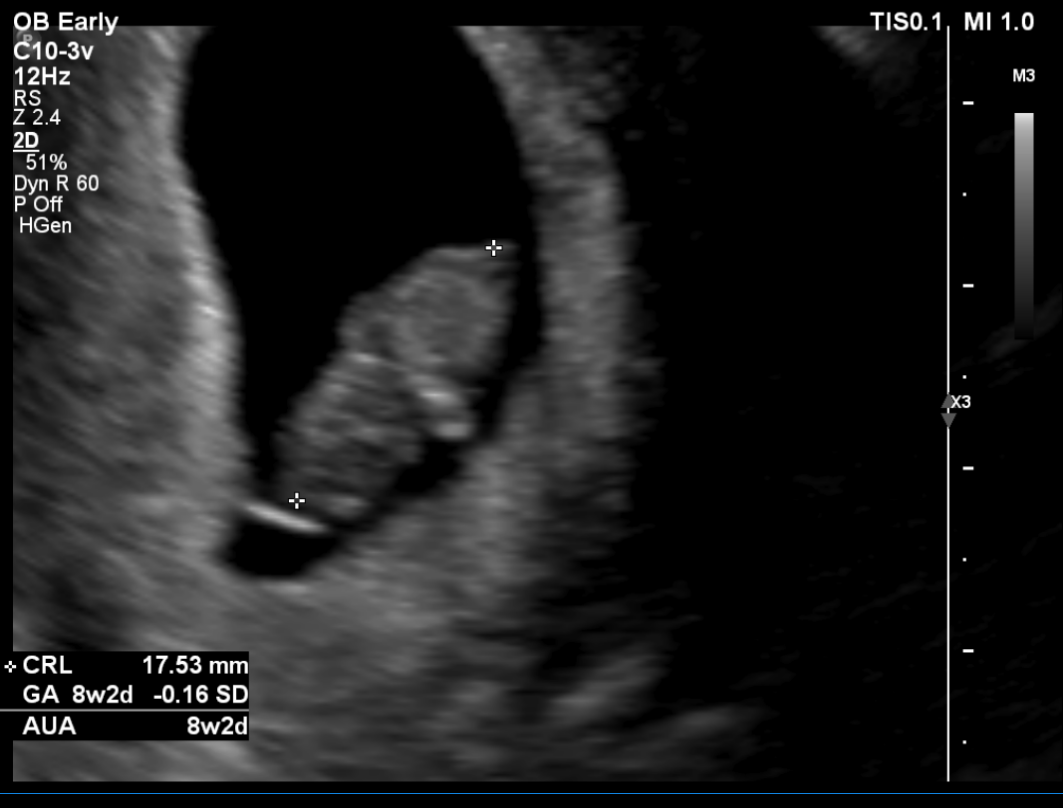
임신 8주 차 초음파 검사 ( 8주 5일 차 초음파 사진)
트롱이를 보러 가기 전날 병원에서 전화가 왔는데 병원 오기 한 시간 전에 물을 40oz(1리터가 넘는 양)를 마시고 오라고 하더라고요~ 그래서 집에서 병원까지 거리가 1시간 반 정도 되는 거리라 차 안에서 천천히 마시며 갔는 게 임신 후 자궁이 커지면서 소변 참기가 너무 힘든데 40oz 양의 물을 마시는 게 정말 힘들었어요.
500ml 이상 마셨을 때쯤 여기서 더 마시다간 정말 실수할 것 같아서 한 700ml 정도만 마시고 억지로 참고서 병원에 도착했는데 화장실을 보니 더 힘들어져 못 참겠다고 화장실 가야겠다고 하고 화장실로 바로 뛰어갔어요.. 그래서 다시 물을 마시고 드디어! 첫 초음파 검사를 하는데 복부가 아닌 질 초음파 검사.....
초음파를 봐주시는 분께서 왜 화장실 안 들리고 왔냐고 방광이 꽉 차 있어 보기 힘들다고 화장실 다녀오라고..... 마시고 오라 할 땐 언제고 ㅠㅠ... 입덧과 소변 참는 것 때문에 너무 힘들었는데 소변을 비우고 오라니.... 너무 황당하고 어이가 없었지만 아이 볼 생각에 참고 화장실 가서 시원하게 비우고 첫 초음파 검사를 했어요~~~

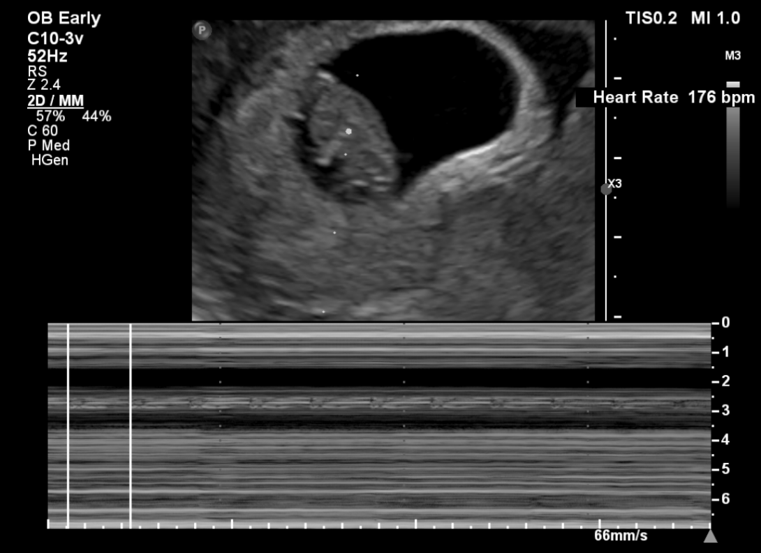
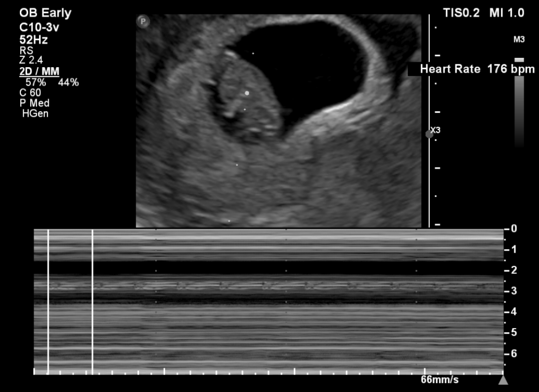
첫 트롱이 사진 짜잔~~ 젤리곰 이다 >. < 주수에 맞게 잘 자라고 있는 트롱이~ 심박수도 176 bpm으로 정상!




사실 초음파 검사 당시엔 아기 모습을 보지 못했어요~ 검사해주는 분께서 화면으로 보여주지도 않고 아무 말 없이 혼자 보면서 검사를 하시더라고요~ 그래서 저희 남편만 화면으로 확인하면서 너무 귀엽다고 잘 자라고 있다고 ㅠㅠ 저를 안심시켜줬습니다.
검사가 끝나고 전 메일로 받은 초음파 사진으로 처음 우리 아이를 봤어요~! 보고 나서 너무 귀엽고 제 뱃속에 이 작은 생명이 있다는 게 너무 신기해서 울었어요~ ㅜ.ㅜ~ ㅋㅋㅋ
이제 저의 6주~ 8주 차 임신 초기 증상들에 대해 알려드릴게요!
임신초기증상 6주 차

6주 차 때부터 가벼운 숙취 같은 입덧이 시작됐어요! 속이 좋지 않고 울렁거리고 메스꺼움이 있고 6주 차까지는 구토는 하지 않았지만 속이 좋지 않아 헛구역질을 했고 속이 많이 불편할 땐 밤에 집 앞에 나가서 시원한 공기를 마시면 속이 좀 괜찮아지곤 했어요!
먹는 건 계속 신것들이 당겼어요~ 새콤달콤 , 아이셔 , 단무지 같은 신 것들 ~ 평소에 즐겨 먹지 않는데 임신 후 이런 음식들이 당기니 신기~ㅎㅎㅎ
다른 증상으론 잦은 소변~ 자다가도 소변이 마려워 소변을 수시로 보러 갔던 것 같아요~ 그리고 누워있다가 일어나면 현기증이.. 어지럽고 눈앞이 캄캄해지는 듯한 느낌이 있습니다.
3~5주 차 때와 같은 증상은 분비물 증가 , 생리통 같은 아랫배 통증 , 무기력함과 피곤함 그리고 가슴을 스치기만 해도 아픈 유방 통증이 있어요!
임신초기증상 7주 차

임신 7주 차 때부턴 너무 힘들었어요~ 6주 땐 가벼운 숙취 같은 입덧이었다면 7주 차 때는 전날 과음을 하고 다음날까지 술이 깨지 않는 강한 숙취 같은 입덧 시작~ 가만히 있어도 어지럽고 속이 울렁거리고 매스꺼워 바로 화장실로 뛰어가 구토를 했고 냄새에도 너무 민감해져서 남편 살 냄새도 맡기 싫을 정도...
쓰레기통이랑 강아지 배변 패드만 봐도 구토를 하고 입맛도 예민해지고 냄새 때문에 평소에 좋아하는 음식도 못 먹었습니다. ㅠㅠ 그래도 다행히 입덧이 심해도 맞는 음식이 한두 가지는 있더라고요~ 전 진라면과 누룽지죽이었는데 라면 먹을 때는 면은 남편 주고 국물에 밥만 두 스푼 정도 말아먹으면 속이 풀리는 느낌이었고 누룽지는 끓여먹으면 속이 다른 거 먹을 때 보다 편했어요!
그리고 머를 먹어도 빈속의 속 쓰림 심했고 구토를 해서 그런지 계속 목마름이 있어 물도 자주 마셨던 것 같아요~!

입덧이 너무 심해 입덧에 좋은 음식을 검색해보니 탄산수가 있어서 탄산수도 수시로 마셨어요~ 체덧도 있었는데 탄산수를 마시면 활명수를 마시는 것처럼 체기가 내려가는 느낌!
새로운 증상으로 유두 통증! 스치기만 해도 아프고 유륜도 커진 느낌 전 주와 같은 증상으론 현기증 , 잦은 소변 , 분기물 증가 , 무기력함 , 졸림 , 생리통 같은 아랫배 통증이 있었어요!
임신초기증상 8주 차

괴로운 입덧이 지속돼서 그런가 호르몬의 변화 때문에 그런가 정말 예민해지고 우울해졌어요 , 감정 기복도 심해 기분이 괜찮다가도 화가 나고 눈물이 나고 감정을 컨트롤하는 게 쉽지 않았습니다. 그래서 남편한테 시비도 많이 걸었던 것 같아요.. ㅋㅋ 남편 미안~ ㅜ.ㅜ
입덧, 체덧 , 토덧도 그대로였어요~ 의사 선생님께서 조금씩 자주 먹으라 했는데 입덧 때문에 조금씩 자주 먹을 수가 없었고 그나마 맞는 음식을 먹어 누르는 게 저는 차라리 속이더 편했어요~ 조금씩 자주 먹어보기도 했는데 계속 구토를 해서 공복시간을 18시간 유지하고 6시간 안에 두 끼를 먹었습니다.
8주 차 땐 한 번도 겪어보지 않은 변비가 생겼어요! 진짜 화장실에서 볼일 보면서 운 적은 처음...ㅋㅋㅋ 아기한테 무리가 갈까 봐 힘도 제대로 못주고 너무 고통스러웠습니다.
7주 차와 같은 증상으론 분비물 증가 , 생리통 같은 아랫배 통증 , 유방통증 , 유두 통증 , 유륜 커짐과 울룩불룩해짐 , 무기력함 , 졸림 , 목마름
입덧이 있기 전에는 생활하는데 문제가 없었는데 입덧이 시작되고 나서는 잘 먹지도 못하고 일상생활 자체가 힘들어 누워만 있었는데 그래서 그런지 체중도 4kg이나 감소했었어요~
입덧 전에는 잘 이겨낼 수 있을 거라 생각했는데 매일매일 숙취에 시달리는 느낌... ㅋㅋ 입덧은 정말 힘든 것!...ㅋㅋㅋ 다음에도 제가 겪은 증상 글로 찾아뵐게요!^^

임신초기증상 3주차 4주차 5주차 증상 얼리 임신 테스트기
임신초기증상 3주차 4주차 5주차 증상 얼리 임신 테스트기
결혼 5년 차지만 결혼 초기에는 서로 맞춰가고 그 후론 여행을 다니느냐 자녀 계획을 계속 미뤘었어요~ 한데 어느 순간부터 신혼도 충분히 즐겼다 생각이 들고 남편도 저도 더 나이 먹기 전에 자
myeverything.tistory.com
임신 초기증상 9주차 10주차 11주차 증상 역류성식도염
임신 초기증상 9주차 10주차 11주차 증상 역류성식도염
임신 초기 때는 입덧 때문에 하루하루 힘든 시간을 보냈던 것 같아요~ 7주, 8주 때 입덧이 너무 심해서 곧 괜찮아지겠지 했지만 임신 초기인 11주까지 계속 이어졌어요~ 오늘은 제가 겪은 임신 초
myeverything.tistory.com
'여니의 하루 > 임신일기' 카테고리의 다른 글
| 임신 30주 33주 역아 , 역아 돌리기 자세로 역아 돌리기 성공! (1) | 2022.11.09 |
|---|---|
| 임신 20주 정밀 초음파 성별반전 경험담 (0) | 2022.06.08 |
| 임신 초기증상 9주차 10주차 11주차 증상 역류성식도염 (0) | 2022.03.09 |
| 임신초기증상 3주차 4주차 5주차 증상 얼리 임신 테스트기 (0) | 2022.03.02 |







